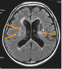
ラクナ梗塞
(lacunar infarction)